潍坊市人民医院脊柱退变与肿瘤科团队成功“拆除”盆腔巨瘤
2025-12-08 16:42 “潍坊市人民医院”订阅号
近日,潍坊市人民医院完成了一例复杂的盆腔肿瘤切除手术。在胡永成教授的指导下,脊柱退变与肿瘤科伦登兴团队联合介入放射科、泌尿外科医学中心、急诊部外科,四个科室通力协作,成功将巨大盆腔神经源性肿瘤完整切除,帮李女士卸下了身体里的“沉重包袱”。

盆腔里的巨型“不速之客”
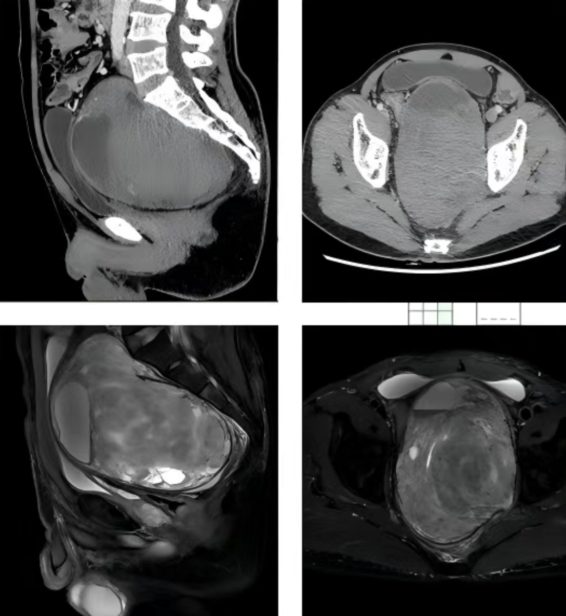
李女士盆腔内的这个神经源性肿瘤,并非等闲之辈。它体积巨大,直径堪比一个小西瓜,如同一颗定时炸弹深藏于盆腔。随着肿瘤的不断“扩张地盘”,严重压迫到了膀胱和直肠,导致李女士频频跑厕所,夜晚难以安眠;排便也变得越来越费劲,腹部总是胀痛不适,连弯腰、久坐都成了一种负担。

更麻烦的是,它位置很深,周围都是重要的血管和脏器,手术既要将它清除,又不能伤及无辜,难度非常高。

协作应对:默契配合,MDT天团联手出击
面对这样一个大块头,脊柱退变与肿瘤科迅速启动MDT多学科协作,汇集不同科室的专家,像一支配合默契的“搬家团队”,为这个不速之客制定了周密的“搬迁计划”。
介入放射科 · 控制“水路”
肿瘤内部血管丰富,手术时易大出血,好比“装修”时先要关水阀总闸。
介入放射科团队率先行动,精准实施腹主动脉球囊阻断,暂时控制了肿瘤的主要“补给线”,为大手术清场,保证了操作空间的安全与清晰。

泌尿外科医学中心 · 保护“管线”
盆腔肿瘤与输尿管等重要脏器粘连,泌尿外科医学中心团队术中巧妙植入输尿管支架,就像给地下管线贴上了“荧光标识”,防止术中损伤。同时,运用腹腔镜的“微创视角”小心分离,有效保障后续肿瘤的完整切除工作。

急诊部外科 · 呵护“邻居”
肿瘤和肠道这位老邻居也“纠缠不清”。
急诊外科团队凭借其在腹部创伤和急腹症中积累的丰富经验,像一位细致的“修缮师傅”,一点点地将被肿瘤压迫和粘连的肠道剥离出来,确保它的完好无损,有效避免了术后肠瘘等严重并发症的发生。
脊柱退变与肿瘤科 · 稳妥“搬离”
在所有前期保障到位后,脊柱退变与肿瘤科团队沉稳接手,承担最核心的步骤。团队凭借丰富的经验和高超的技艺,沉着冷静、精细操作,最终将这个小西瓜一样的肿瘤完整切除,彻底“拆除”了这颗炸弹。
实力彰显:技术攀登永不止步
这次手术的成功,就像完成了一次高难度的“协同作业”,充分展现了医院MDT多学科协作的效率和优势,也体现了医院在处理复杂盆腔及脊柱肿瘤方面扎实的技术能力。
未来,潍坊市人民医院将继续坚持技术与服务并重,用心守护每一位患者的健康。








